Phillip Katz, DDS Discussing Porcelain Veneers
Hide Flaws, Fix Chips
Candidates for Porcelain Veneers
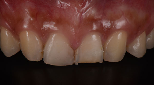
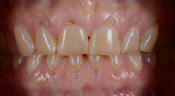
Virtually all patients with cosmetic problems are candidates for dental veneers if they are in good oral health. As a cosmetic dentistry treatment, veneers aren’t meant to resolve functional issues with teeth, such as a bad bite (malocclusion). Instead, they can be a great option if you have the following issues in your smile zone, or the teeth that show when you smile:
- Chipped teeth
- Cracked teeth
- Gapped teeth
- Crowded teeth
- Malformed teeth
- Crooked teeth
- Discolored teeth
- Worn-down teeth
Our Custom Treatment Process
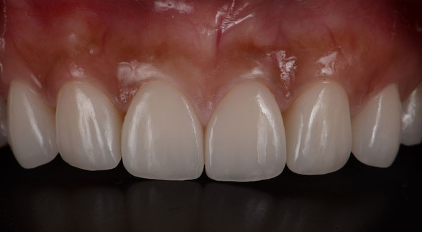
Porcelain veneers treatment is a highly personalized and detailed process at our Pickerington, OH practice. To provide the greatest aesthetics, veneers must both hide problem teeth and provide the appearance of a new smile that looks and feels completely natural. During your first appointment, our cosmetic dentist will remove a few millimeters of the front surface of your tooth enamel. This ensures that your custom dental veneers fit naturally and comfortably over your existing teeth. Next, we’ll take impressions of your modified teeth, which will be used to hand-design your veneers to the most ideal size, shape, and color for a beautiful new smile.
When these restorations are ready, you’ll return to our cosmetic dentistry practice in Pickerington, OH for a second appointment where we’ll verify the final fit of your veneers and then bond them securely to your teeth. You won’t need to complete any special maintenance with veneers, and though they won’t stain as natural teeth do, you should continue brushing and flossing each day. The long-lasting result of your smile makeover is a series of dental veneers that complement your gum and lip line, facial features, and skin tone! In short, you’ll have the smile of your dreams, and one that will last you for many years to come.
Complete this short smile Evaluation and receive the following:
If you're a good candidate for veneers
A Digital Smile Design to show you what you will look like with your new veneers!
Pricing and options for treatment
And best of all... a time to speak directly with Phillip Katz, DDS. Top Cosmetic Dentists in Pickerington, OH!
