Years of Bad Teeth, Gone in One Day!
If you have one or more missing or decayed teeth, or if you feel your teeth aren’t fully functional, you might find yourself shying away from pictures, covering your smile, and you may even be experiencing pain and discomfort when eating or drinking. If so, it can be hard to imagine yourself with a new smile, but at State of the Art Smiles, we are pleased to offer our patients a brand-new set of fully functional teeth in just one day! After just one visit with Dr. Phillip Katz, you can walk out of our office with a new look and confident smile.
Teeth In One Day uses our All-On-X treatment to give you a transformed smile in a matter of only hours! This innovative dental implant protocol includes a full set of teeth, with each arch secured into the jawbone by four titanium dental implant posts. Teeth In One Day will leave you with a full set of natural-looking teeth, personalized to your goals to create a smile that is full, healthy and beautiful. You will be able to enjoy your favorite foods with ease and restore your confidence in a new smile. Teeth In One Day will give you a lifetime of smiles, starting in no time at all!
Derek's Patient Story
Permanently Fix Your Bad Or Missing Teeth In A Single Visit
Your Completely Customized Same-Day Options
We take pride in offering our patients options to restore their smile and confidence when replacing all their failing and missing teeth. With our fully customized treatment plans – including full mouth dental implants, dentures and implant supported dentures – we can ensure our patients’ smiles will be healthy, beautiful and long-lasting.
A traditional and affordable option to restoring your smile, dentures aren’t a long-term solution, as over time, they may cause more problems than they solve. Our implant supported dentures are dentures that attach to dental implants secured in your jawbone as a stable foundation for optimal function. These special dentures give patients options, as they can be taken out for easy cleaning while offering the appearance and functionality of secure natural-looking teeth. Full mouth dental implants are the “gold standard” of full mouth restorations and the ultimate solution to missing or failing teeth. By providing full arch rehabilitation to replace all your failing or missing teeth, our dental implants are secured into the jawbone to support a full set of brand-new teeth that attach to the dental implants permanently. Dr. Katz, our cosmetic and implant dentist in Pickerington, OH, does more than provide a “quick fix” for patients and their missing teeth. He provides fully functional and beautiful smiles that last a lifetime!
Full Mouth Dental Implants
Dr. Katz Discussing Teeth-In-One-Day
- Available in porcelain, zirconia or acrylic
- No plastic
- No gagging
- Look and feel of natural teeth
- Precise fit, eliminating slippage
- Preserve facial features and restore your natural smile
- Do not affect the health of surrounding teeth
- Prevent bone loss in the region
- Last a lifetime with proper care!
Implant Supported Dentures
- Fixed or removable denture
- Lasts more than 10 years
- Secured by two or more implants
- Limit bone recession
- Expanded food options
Dentures
- Removable for proper cleaning
- Lasts five or more years
Dr. Katz Discussing Cosmetic Dentures
Dr. Katz Discussing State Of The Art Smiles & Teeth-In-One-Day
Dr. Katz Discussing Options For Denture Wearers
Guided Dental Implant Surgery Vs Free Hand
Our Same Day Smile Process
Step 1: Personalized Consultation
Being the most informative and important step, Dr. Katz will have the option to get to know you and your smile goals. We will discuss how our All-on-X full mouth dental implant treatments work and what expectations for the treatment are. We will take computed tomography (CT) scans, X-rays, impressions and digital photographs of your teeth to help build a custom treatment plan that meets your specifications. We will go over the calming sedatives available to you (oral or IV), so you can pick which one you would like. Once you are comfortable with your treatment plan, we will begin planning each step of your surgery to ensure safe and predictable results.
Together we’ll discuss the best option for you and if you’d like, you can see before and after case studies from real State Of The Art Smiles patients including how their treatment truly changed their lives. Dental implant pricing, insurance coverage, and financing options will also be discussed. If dental implants are best for you, our Pickerington, OH implant dentist completes precise surgical planning to ensure each implant placed is in the exact angle, depth, and location for optimal, lasting success, and ideal aesthetics.
Step 2: Surgery with Precision
Your custom treatment plan will include a surgical guide with a detailed map for the steps of your surgery. This precise planning allows Dr. Katz to resolve any potentially troublesome areas for an error-free surgery. Our advanced technology not only helps guide Dr. Katz through your surgery, it eliminates the need for a second surgery to place bone grafts, which significantly reduces your treatment time and overall cost. Once your surgery is finished, we will attach a temporary restoration to your dental implant for you to begin enjoying your new smile immediately!
Step 3: Follow-up Appointment
Two to three months after your surgery, Dr. Katz will have you come back for a follow-up appointment, when we will ensure everything is healing nicely. You will have a chance to ask any questions you may have, and we will go over the steps to keep your mouth healthy during the rest of your healing process. We will then make your appointment for a return in two to three months for your final restoration installation.
Step 4: Final Prosthesis And Your New Smile
Once your All-on-X dental implants have had time to heal and the implants have fully integrated into your jawbone, we can begin creating and installing your final set of teeth. Dr. Katz will take new impressions of your mouth and build your final, stronger permanent set of teeth. This final restoration ensures that your teeth will last a lifetime while providing maximum support, beauty and function.
Restored Smile Made Affordable
Dental care that provides our patients with a restored quality of life at an affordable cost is our top priority, and our Teeth In One Day in Pickerington, OH is one of the best investments you can make in your smile and quality of life! Designed to be a permanent solution, our dental implants won’t slip, fall out or look unnatural. While providing the stability needed to chew your favorite foods, dental implants also improve the health of your jawbone, so it won’t deteriorate. Don’t let financial limitations stop you from receiving the high-quality and life-changing care you deserve! To ensure all our patients can experience exceptional dental care, we accept all PPO dental insurance plans and offer third-party financing options through CareCredit, GreenSky and LendingClub to provide you with monthly payment plans that work for you and your family. Financing your dental implant treatments with State of the Art Smiles is easy and manageable, with quick application processes and competitive monthly rates. We are proud to offer Teeth In One Day that’s personalized for your mouth and your budget!
Frequently Asked Questions About Teeth In One Day
Our All-On-X treatment protocol provides patients with new teeth that are firmly fixed in place, and look and function as close to natural teeth as possible.
A denture, whether full or partial, is a removable set of teeth and should be taken out every night for cleaning. Additionally, since a denture is not fixed in place, it will often slip or sometimes fall out, even with normal use. For this reason, denture adhesives are often needed to hold dentures in place. Even with adhesives, many people find that eating, laughing, being active and sometimes just talking can be a challenge with dentures.
All-on-X provides our patients with a new set of teeth that are connected to the implants and are solidly fixed in place. They may only be removed by the dentist but are brushed and cleaned like natural teeth. Our All-On-X process is the closest you’ll find to natural teeth in terms of look, feel and function.
Since the pressure of biting down is transferred directly to the bone rather than to gum tissue (as it is with dentures), All-On-X also allows the patient to bite with much more force than dentures do. This means that patients can eat their favorite foods without worrying about their teeth!
The short answer is absolutely not. This is the beauty of dental implant treatment vs. dentures. Not only will your implant supported teeth be fixed in place without slipping or needing to be removed for cleaning, they do not press on the gum tissue (which is what creates the discomfort that is common with dentures)!
This line will be hidden behind your lips, so it won’t be visible when you smile. During your initial consultation, Dr. Katz will evaluate your smile to determine where the junction of the fixed bridge and the jawbone will be. During the procedure, we adjust your “smile line,” ensuring that your new smile is not gummy and that the connecting line of your prosthesis is completely hidden.
Published studies indicate a 98.2% success rate when using the All-On-X technique in the lower jaw. Similar studies show a 97% to 98% success rate in the upper jaw for the same procedure. Occasionally, an implant will fail. If this happens, we simply place a new implant in a slightly different position to take advantage of existing bone, then our dental lab refits the fixed bridge to align with the new implant.
Dental Implants: Do They Hurt?
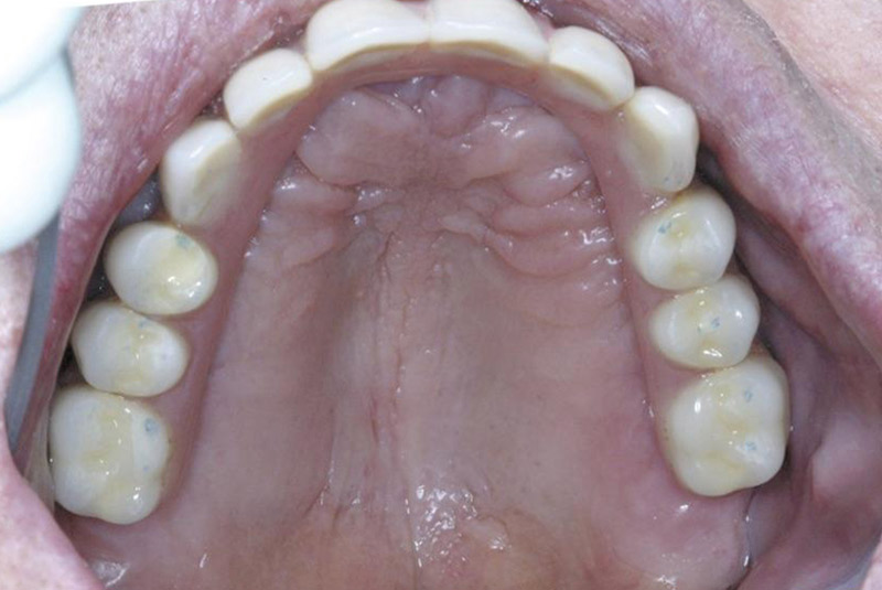
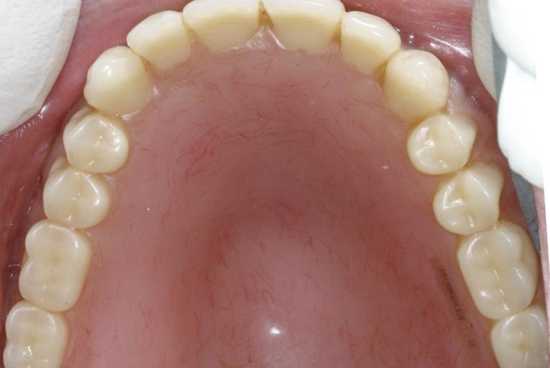
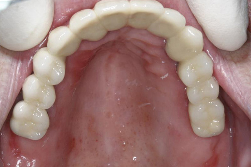
Comparison of Dental Implant Options Available
with Dr. Katz’s Method of Modern Dental Implants
(All photos from the perspective of looking up at the palate.)
PORCELAIN Implant Teeth
Implant Teeth
Denture
Schedule An Appointment
I understand the information disclosed in this form may be subject to re-disclosure and may no longer be protected by HIPAA privacy regulations and the HITECH Act.
Find out if you're a
candidate for dental implants
Answer the Following Questions To Learn more about our pricing and financing options.
